Бутылочный (циркулярный) кариес у детей

Бутылочный кариес у детей – это кариес молочных зубов, развивающийся в первые три года жизни малыша и поражающий преимущественно пришеечные участки верхних клыков, резцов, реже моляров. Заболевание характерно для малышей в возрасте от 0 до 4 лет, которые находятся на грудном или искусственном вскармливании. Как и другие формы кариеса у ребенка, бутылочный требует обязательного лечения: что и как делать, решает детский врач-стоматолог.
Главная особенность патологии – очень быстрое развитие: от первых признаков заболевания до полного разрушения зуба может пройти всего лишь несколько месяцев.

Возникновение бутылочного кариеса редко имеет не одну причину, как правило, их несколько:
- слабый иммунитет, как результат перенесенной тяжелой инфекции, хирургического вмешательства, воспалительных заболеваний носоглотки, полости рта и т. д
- неправильная или нерегулярная чистка зубов, отсутствие чистки зубов, неверный подбор средств гигиены
- если ребенок употребляет в пищу много мучных изделий, сладостей и сахара. Данные продукты приводят к размножению патогенной микрофлоры в полости рта
- Генетическая предрасположенность.
Легко корректируется соблюдением всех рекомендаций врача стоматолога, правильной и регулярной чисткой Зубов, правильным питанием
- болезни зубов у родителей – патогенная микрофлора передается ребенку при поцелуях, при использовании столовых приборов «изо рта в рот»
- продолжительное грудное вскармливание или длительное использование бутылочки, соски. Заболевание возникает у ¼ детей в возрасте до полутора лет, к 2-летнему возрасту показатель возрастает;
И самая главная причина!!!! Заболевание возникает в результате привычки пить перед сном молочную смесь из бутылочки, грудное вскармливание. Это приводит к тому, что в полости рта скапливаются остатки пищи. Лактоза является питательной средой для размножения бактерий. Запускается процесс брожения, сопровождающийся выделением органической кислоты, что и приводит к разрушению эмали.
Стадии развития заболевания

Заболевание классифицируется по глубине и распространению с учетом возраста ребенка. Выделяют четыре стадии бутылочного кариеса:
- Начальная стадия. Возраст ребенка — от 6–10 до 20 месяцев. Участки зубной эмали теряют минералы, появляются белые пятна с матовой поверхностью, говорящие о деминерализации. Может появиться белесая линия у края десен передних зубов. Ребенок не предъявляет жалоб, поскольку эта стадия не сопровождается болью или повышением чувствительности зубов. Лечение в этом случае наиболее простое, можно остановить патологический процесс и предупредить разрушение твердых тканей. Но выявить заболевание может только стоматолог, вот почему так важны профилактические визиты к врачу.
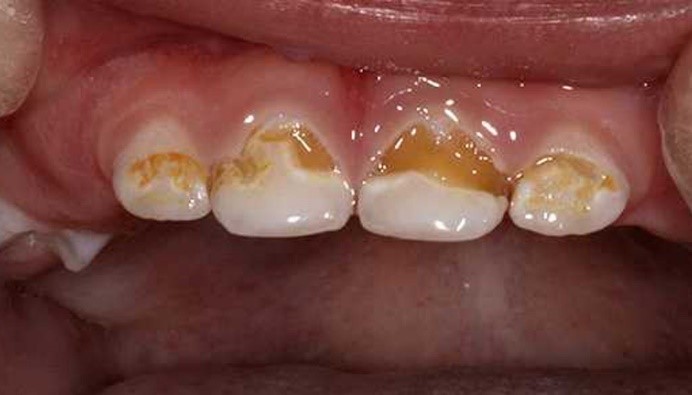
- Поверхностный кариес. Возраст ребенка — от 16 месяцев до 2 лет. На этой стадии разрушается участок эмали, обнажается дентин. Патологические очаги могут быть светло-желтыми или коричневатыми. Ребенок жалуется на дискомфорт во время жевания, что связано с повышенной чувствительностью зубов.
- Средний кариес. Возраст ребенка — от 20 месяцев до 3 лет. Эта стадия характеризуется разрушением и эмали, и дентина. Очаги поражения становятся заметными, появляются глубокие полости. Чувствительность зубов появляется не только на механическое воздействие, но и на прием сладкой, кислой, холодной или горячей пищи/напитков.
- Глубокий кариес. Возраст ребенка — от 30 месяцев до 4 лет. Возникает поражение эмали и большей площади дентина. Обычно страдают верхние резцы — они разрушаются почти полностью, в то время как на молярах и клыках наблюдается средний кариес. Ребенок жалуется на сильную зубную боль, отказывается от приема пищи, у него может быть нарушен ночной сон.
Профилактика
Основа профилактики патологии – регулярный, качественный уход за полостью рта, начиная с самого первого зуба малыша. Родителям стоит помнить, что:
- у ребенка должна быть своя посуда, зубная щетка и паста, соответствующая возрасту;
- не нужно целовать малыша в губы, облизывать его соски, столовые приборы, есть одновременно с ним из одной тарелки, пить из одной емкости и пережевывать для младенца пищу (бактерии, живущие у взрослых во рту, губительны для детской эмали);
- нежелательно слишком часто прикладывать малыша к груди или давать постоянно бутылочку со смесью и сладкими напитками; коррекция диеты: отказ от большого количества углеводов, предпочтение свежим овощам, фруктам, рыбе, мясу, зелени.
- стоит ограничивать ночные кормления после прорезывания зубов, особенно, если ребенок находится на искусственном вскармливании; после каждого ночного кормления обязательно протирать зубы специальными антисептическими салфетками для зубов
- показывать малыша стоматологу нужно регулярно, начиная с 1 года.
При первых признаках кариозного поражения нужно обращаться за квалифицированной помощью.

Материал подготовил : врач-стоматолог-терапевт(заведующий) государственного учреждения здравоохранения «Гомельская центральная городская стоматологическая поликлиника» Ковальчук О.А.















